Why perform the implementation of dental veneers in Albania?

The best dental clinics in Albania specialize in dental implantology, in the application of dental veneers and offer a complete service that includes; bone reconstruction, dental aesthetics, computer-guided implantology and classic & invisible orthodontics.

When it comes to dental veneers and their cost in Albania, consider that the expenses are up to 50% less than in Italy. We offer our patients high quality dental treatments thanks to an attentive, specialized staff who is fluent in Italian language and provides dental care in total safety and comfort.

The reason for these lower costs for dental veneers in Albania compared to other European countries should not be found in less effective materials as much as in the less heavy Albanian taxation.

But why choose Albania?
Simple; not only are the dental hospitals equipped with state-of-the-art equipment but they also bring to you the best of the European universities’ medical excellence, as we are proud of our team of specialized dentists.
For this reason we invite you to visit our team page by clicking here.

The timing for applying the veneers

The estimated time for the prosthetic work to be performed, considering the work performed by the dental technician, is about 8-12 working days.

Obviously, for those who reach us from foreign countries we respect the timelines with very high precision, calculating that the patient must also adjust to the trip.

For more information, please click here.

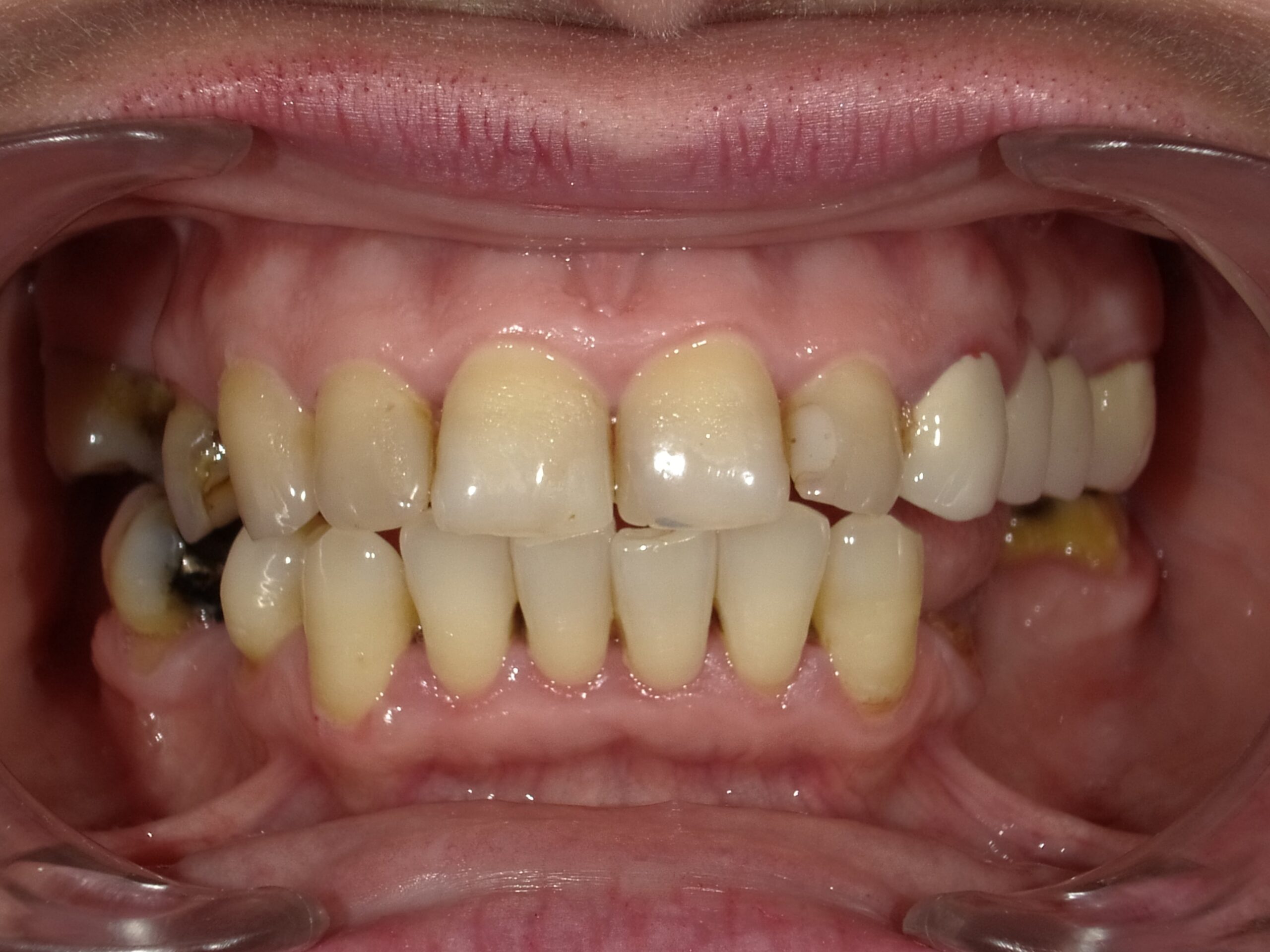
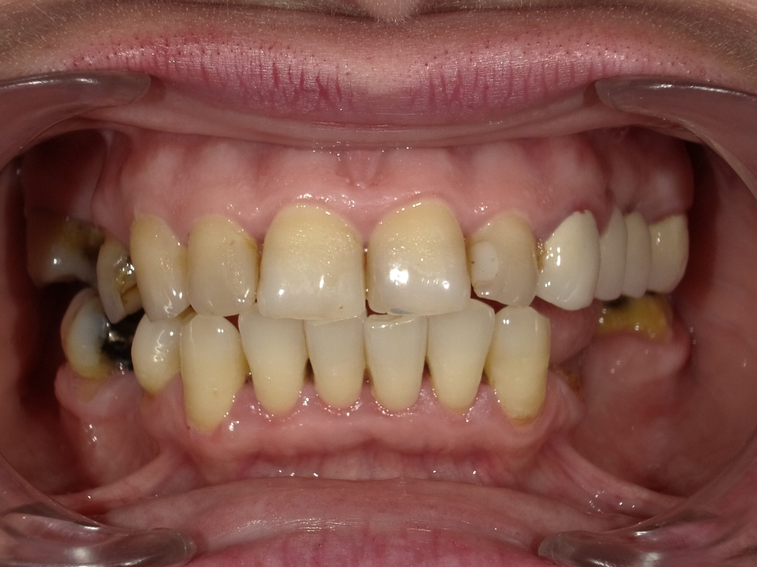
Therapeutic process

The preliminary study allows for patient approval to be obtained through the evaluation of simulation images. We then proceed with the direct simulation in the mouth, with a “mock-up” which is made up of thin resin shells.

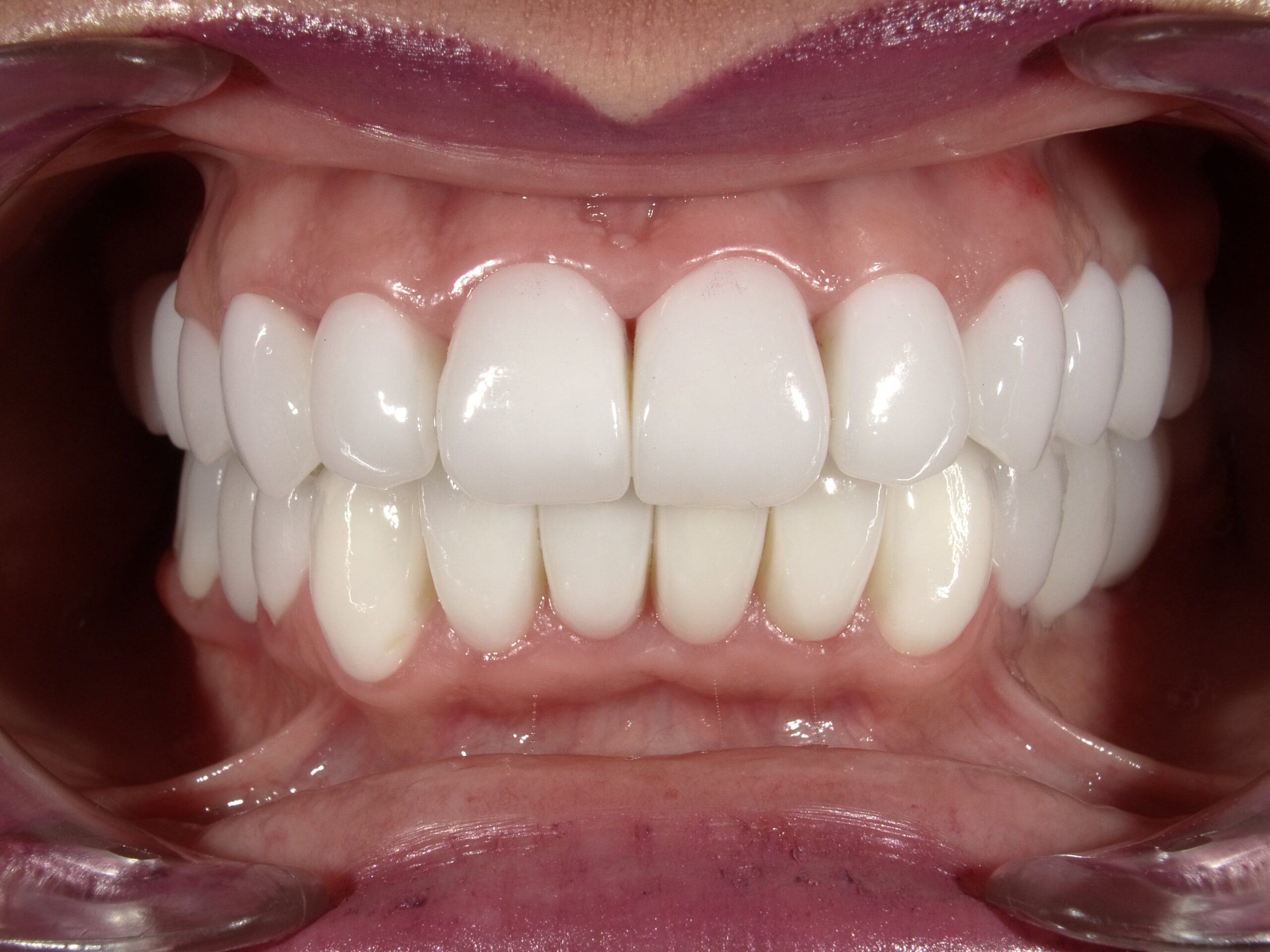
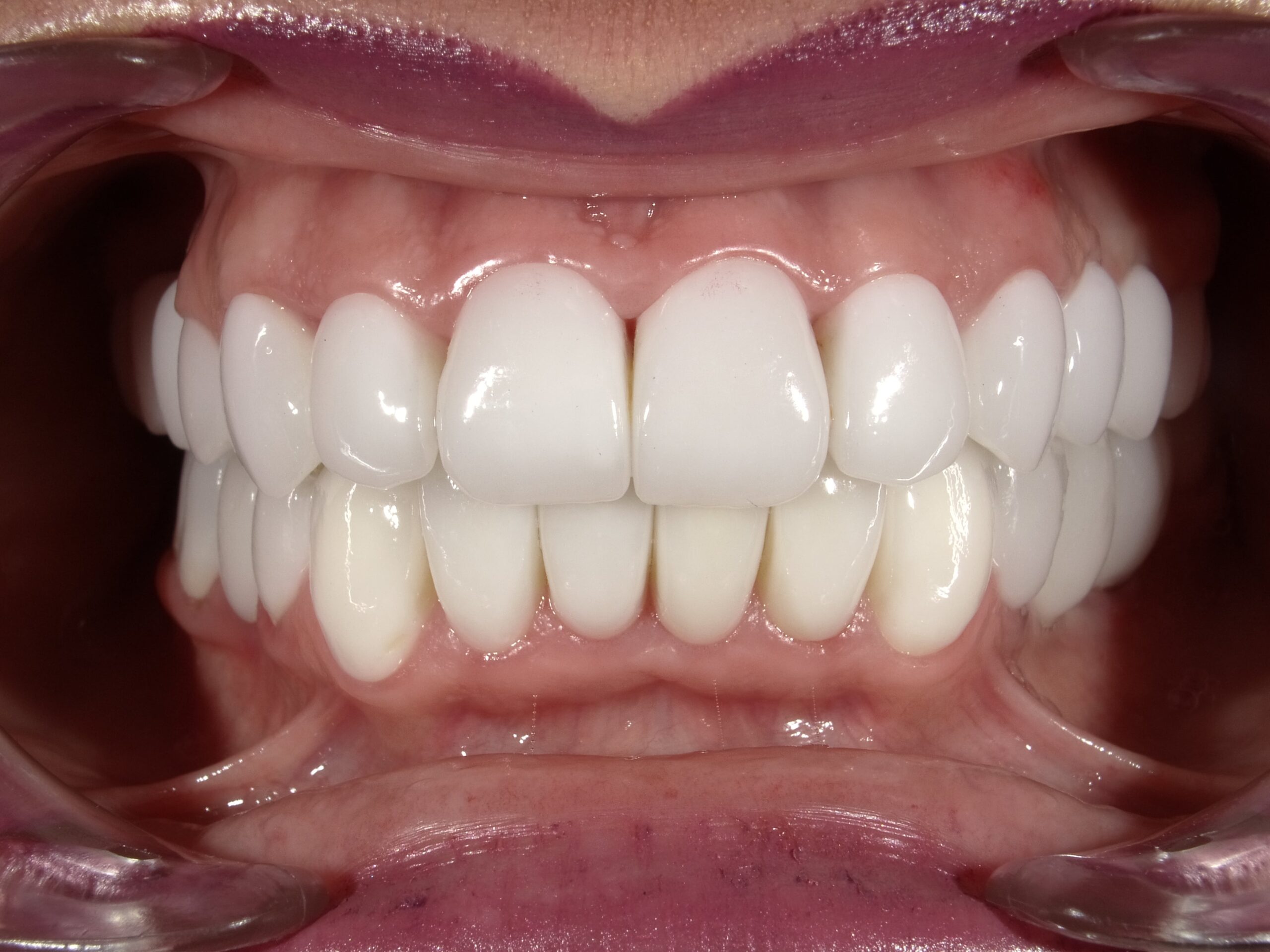
The trial simulation allows you to get a realistic view of how the new restorations will integrate into the patient’s smile and how they will harmonize on the subject’s facial and emotional components.

Once the mock-up has been approved by the patient, the veneers are made in the laboratory.